Blog
- All
- Noticias
- Promociones Especiales
- Tips
- Videos

Pronto sedación consiente con óxido nitroso
Por Dr. Victor Ñique
18/mayo/2016
La Sedación Consciente, o Sedación por inhalación, es una técnica por la cual el paciente respira una mezcla de óxido nitroso y oxígeno que rápidamente le produce una sensación agradable y rel...

Mal aliento (halitosis)
Por Dr. Victor Ñique
18/mayo/2016
Identifican bacteria que causaría la halitosis. La halitosis una condición incómoda para muchas personas, como lo es la sudoración en las manos. Se calcula que la mitad de los peruanos tiene m...

Rechinas los dientes (bruxismo)
Por Dr. Victor Ñique
18/mayo/2016
El bruxismo es el hábito involuntario de apretar o rechinar los dientes consciente o inconscientemente, que afecta a entre un 10% y un 20% de la población. Existen 2 tipos de bruxismo: céntrico ...

Pasos para dejar de fumar
Por Dr. Victor Ñique
18/mayo/2016
PRIMERO: establezca una fecha para dejar de fumar en conjunto con su médico no la cambie. Revise sus intentos anteriores y piense en las dificultades que tuvo ¿cómo va a enfrentarlas ahora? Iden...

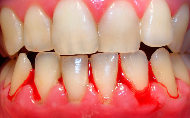
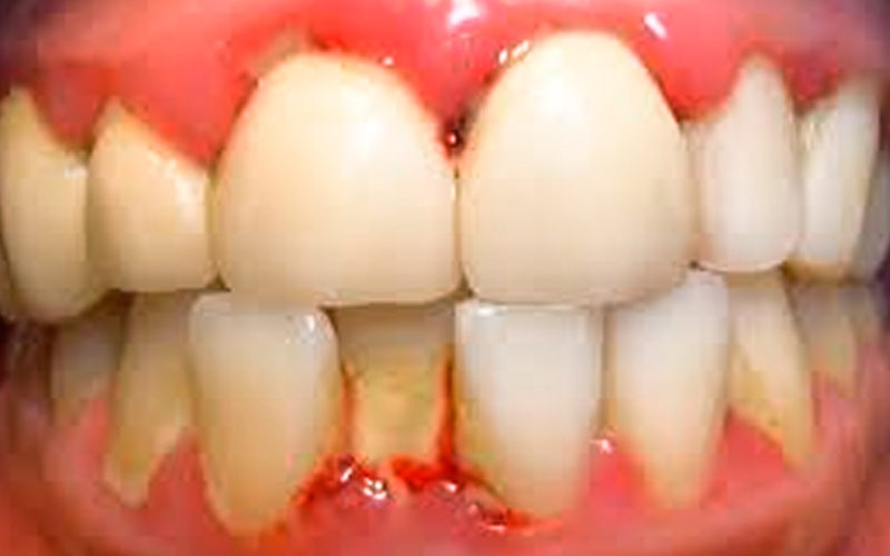
Sangran las Encías (Gingivitis)
Por Dr. Victor Ñique
18/mayo/2016
Gingivitis es la enfermedad bacteriana que provoca inflamación y sangrado de las encías, causada por los restos alimenticios que quedan atrapados entre los dientes y por una nula o deficiente...

Diagnóstico de caries con laser
Por Dr. Victor Ñique
18/mayo/2016
Ahora nuestro centro de odontología CLINIQUE, cuenta con un nuevo servicio de última tecnología a nivel mundial. Para el diagnóstico de caries con láser de punta. Diagnodent representa una ve...

Tus Dientes Se mueven o están flojos (Periodontitis)
Por Dr. Victor Ñique
18/mayo/2016
La enfermedad periodontal es una inflamación o infección que ataca las encías y el hueso que mantiene sus dientes en su lugar. Es causado por la bacteria en la placa, la pegajosa capa, casi sin col...

Prevención
Por Dr. Victor Ñique
18/mayo/2016
Como prevenir las caries Usted puede evitar la formación de la caries tan solo con un buen cepillado después de cada ingesta de alimentos y visitando a su dentista por lo menos cada seis meses para ...